ilaya.ua

Унікальні технології в Україні: У столичній клініці бійцям АТО відрощують пошкоджені кістки

У медичному центрі ilaya прийняли на лікування 56 бійців АТО з важкими бойовими травмами кінцівок, які мали б ампутувати. Нині у 35 пацієнтів лікування завершено, результати отримано у 31 пацієнта. Середня тривалість циклу лікування – 4-6 місяців. Відомо, що на всіх бійців вже витратили 15 млн грн.

Лікування для військових безоплатне 

У київській клініці ilaya бійцям АТО з важкими наслідками бойових поранень вирощують і вживлюють кістки. Відновлюють, зокрема, кістки плеча, передпліччя, стегна, гомілки і стопи, коли є дефект кісткової тканини або незрощений перелом, несправжній суглоб тощо.

Таке лікування відбувається в рамках проекту "Біотех-реабілітація поранених", створеного ще у вересні 2014-го року. Започаткувала його сама клініка, застосовуючи свої новітні біотехнологічні розробки, та волонтерський проект People's Project ("Народний проект"), який збирає кошти на операції. За рахунок цього бійці за лікування у клініці нічого не платять, для них усі процедури безоплатні.

"Бійців з різних куточків України знаходимо самостійно через соціальні мережі або їх на лікування в клініку приводять волонтери", – розповідає координатор проекту "Біотех-реабілітація поранених" і співробітник клініки Станіслав Кушнаров. Далі боєць або попередньо присилає рентгенівські фото, чи одразу приїздить на діагностику. Тут уже лікарі дивляться: якщо це "їхній випадок" і вони можуть допомогти – прописують схему лікування, визначаються з тим, які будуть затрати, а потім це узгоджується з "Народним проектом". У фонді ж, у свою чергу, вирішують, чи зможуть взяти бійця під опіку, і далі проект уже починає збір грошей. Причому чим менше часу минає з моменту поранення бійця, тим лікування ефективніше й дешевше. Адже бойові рани вважаються первинно інфікованими, в них розвивається остеомієліт. Коли поранення задавнені, починається некроз кістки, вона сильніше руйнується, а також "гаситься" імунітет, який потім лікарям доводиться "розкачувати", бо він просто життєво необхідний у такому лікуванні.

peoplesproject.com

Як зазначає координатор проекту, бійцям АТО операції і всі потрібні процедури у клініці роблять за собівартістю. На сьогодні ціна лікування для бійців у середньому  складає від 300 до 400 тис. грн. "Ми для бійців робимо спеціальні ціни на все це, максимальні знижки – до 50% на лікування. Кожного місяця клініка може приймати четверо нових бійців, у хірургічному відділенні – 7 ліжок", – зазначає Кушнаров.

Ось і нині на лікуванні у клініці перебувало двоє бійців АТО, з якими вдалося поспілкуватися. Цього разу вони пробули тут близько тижня і отримати потрібні процедури. Перший – це 38-річний прикордонник Сергій із Харкова, який зазнав вогнепального поранення гомілки під Іловайськом на Донеччині, та 27-річний Олександр, боєць 1-го батальйону 30-ї механізованої бригади, який отримав осколкове поранення стопи зі зміщенням кісток у селі Червона Поляна неподалік від Лутугиного на Луганщині. Обоє були поранені ще у 2014 році.

У Сергія дефект кістки – 13 см. Зауважимо, що станом на тепер традиційна медицина в Україні при дефектах кісткової тканини від 5 см застосовує протезування або ампутацію через "нефункціональність кінцівки".

Після поранення кістку Сергію збирали в Біловодську, потім у госпіталі Міноборони в Харкові, а потім в госпіталі в Одесі, де йому не одразу провели операцію. Можливо, це і ускладнило подальше відновлення ноги, припускає чоловік.

У клініку на біотех-реабілітацію потрапив у 2014-му році після того, як "не знайшов певної підтримки у лікуванні в лікарів госпіталю". Сергій розповідає: "Перша операція в клініці відбулася 10 грудня 2014 року, основна операція відбулася за півроку – 10 червня 2015 року. Тобто це майже рік минув з моменту поранення. Тут мені поставили спеціальний апарат замість Ілізарова, який мені встановили в одеському госпіталі, взяли фрагмент кістки, далі за півроку відбулася основна операція, коли мені поставили вирощений фрагмент кістки, ось рік я чекав того часу, коли знімуть пластину, якою зафіксували імплант. Зараз пластину зняли, але є певні проблеми з нервами".

Сергій зізнається, що нині на якомусь з етапів одужання. "У моєму випадку через характер і місце ушкодження є певні корективи в процес одужання, трохи лікування розтягнулося. Можливо, якби я потрапив напряму в Київ в клініку, тут би по-іншому, ніж в госпіталі сталося, а оскільки отакий шлях був довгий, довгий час в мене не загоювалось рана і були певні моменти у комунікації з лікарями одеськими, зараз ось так. Але клініка допомагає", – говорить Сергій.

фото 5.ua
фото 5.ua

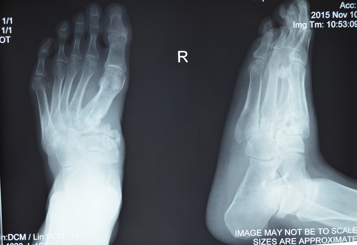
Другий боєць, Олександр, у 2014-му отримав осколкове поранення стопи зі зміщенням кісток. Перебиті були перша, друга і третя передплюсні кістки в ступні – вони фактично "стояли одна на одній". Чоловіка лікували в Харкові, у Вінниці, в Житомирі. Він згадує: "Було проблематично взуватися, ну і ходити не можна було. Тільки кілометр-півтора пройти міг, потім береш палку, ще трохи пройшов і вже береш другу палку, а потім дуже сильно боліло. А ще я взутись не міг: у мене такий горб був. Виходить, береш кросівки на розмір більше, розшнуровуєш їх, щоб нормально було взутись. У клініці мені кістки поставили на свої місця та зафіксували шпицями".

Нині кістка для Олександра вже вирощена. "Зараз підготовка йде, прокапають, і в мене вже кістка готова для трансплантації. Ця пересаджена кістка закриє той простір у ступні", – розповів боєць. На запитання, чого чекає від операції – відповідає не замислюючись: "Хочу чимскоріше ходити, літо он іде, треба гроші заробляти. Боліти, мабуть, все одно буде, але так, щоб можна було працювати і чимось займатись".

фото 5.ua
ilaya.ua

Нині обоє бійців з клініки виписалися. Однак Олександр найближчим часом повернеться: попереду основна операція.

Без імунної системи стовбурові клітини можна викидати в смітник

Керівник проекту "Біотех-реабілітація поранених" і генеральний директор клініки Олексій Шершньов розповідає, що фактично клініка бере поранених тоді, коли їм уже сказали, що все, сценарій поганий і висока вірогідність ампутації та протезування, і "ми своїми технологіями повертаємо цю історію до якоїсь висхідної точки, в основному". Тобто, наприклад, нога залишається опорною і на ній можна ходити.

"Може якісь великі навантаження не можна на неї давати, бо якби тільки кістка була поранена і ми відновили, там би проблем не було, але зазвичай, після численних операцій в інших госпіталях, там об’єктивно псуються м’які тканини, зв’язки і так далі. Тобто ми паралельно вирішуємо питання вирощування не тільки самої кістки, а й супутні, тому і кожен кейс індивідуальний, і  у всіх результати дуже різні. І по строкам затягується іноді лікування. Але називаємо ми це реабілітацією, хоча це high technologies, пов’язані з біотехнологіями", – говорить Шершньов.

Так, за майже два роки роботи проект "Біотех-реабілітація поранених" взяв під опіку 56 бійців АТО з важкими бойовими травмами кінцівок. Нині у 35 пацієнтів лікування завершено, а результати отримано у 31 пацієнта, розповідають у клініці.

Самому ж цьому методу – з використанням так званих стовбурових клітин – 12 років. Минулого року за цим методом була захищена докторська, яку написав лікар ортопед-травматолог, співробітник клініки Володимир Оксимець. Тобто, це вже визнаний науковий винахід. Нині в клініці ilaya, яка була створена у 2011 році, його значно модернізували, а основа технології походить із довоєнного Донецька. Колектив, який нині практикує у клініці – власне згадуваний лікар-травматолог Володимир Оксимець та кістяк біотехнологів Дмитро Зубов і Роман Васильєв – вихідці з Інституту невідкладної і відновної хірургії ім. В. К. Гусака Академії наук України в Донецьку. Біотехнологи приєднадися до ilaya ще у 2011-му, а лікар виїхав звідти, коли почались трагічні події на сході України. Окрім двох біологів із Донецька, у клініці ще працюють інші 7 спеціалістів, які постійно стежать, як ростуть клітини у лабораторії та як зберігаються в кріосховищі. Як стверджують у клініці, у тих людей, яким робили ще 10 років тому подібні операції, "нічого не ламалося і все було нормально".

5.ua

"Узагалі ці технології в нормальному розумінні у людей тільки-тільки починаються… І дуже багато негативу з'явилося, пов'язаного зі стовбуровими клітинами. Чому? Тому що на нашому пострадянському просторі, якщо їх і використовували, то підпільно і, як правило, дуже неетичними способами, взяті з неправильного джерела, і як результат – ніхто не міг сказати, були там проблеми чи не було. Але в інфополі виникло дуже багато негативної інформації, і словосполучення "стовбурові клітини" якщо і не викликає негативу, то як мінімум спричиняє пересторогу і тривогу, що вони викликають рак, хоча ніяких підстав для цього немає насправді", – розповідає керівник проекту і гендиректор клініки Шершньов.

Однак наголошує, що саме стовбурові клітини "знають, як побудувати кістку", тому що "вони у свій час створили всі наші тканини в утробі матері. Тобто краще, ніж вони ніхто не вміє створювати і відтворювати".  Чому іноді лікування у бійців проходить довго? Бо попервах у бійців, пояснює Шершньов, так би мовити, "поганий імунітет, а без імунної системи стовбурові клітини можна викидати в смітник, бо немає повного механізму, який відновить тканини". "Тут іще є момент, слово "стовбурові" стосується лише певного виду клітин… Ми, наприклад, використовуємо стромальні клітини, які не є, по суті, стовбуровими, але в нас у суспільстві прийнято будь-які клітини називати стовбуровими. І ми автоматично повинні коментувати чужі якісь проблеми", – розповідає чоловік.

За словами Шершньова, ситуація у цій сфері почала змінюватися в 2000-х роках, та так, що держава аж створила згадану вище лабораторію в Донецьку, яка займалася розробкою системи і застосовувала стовбурові клітини для лікування опіків. Це було необхідно, бо там шахти, а отже й багато виробничих травм. Коли вибухав на шахті метан, за раз могли обгоріти десятки людей і їх треба було кудись везти. "Досить відома технологія у світі – це вирощування шкіри, хоча насправді вирощують не шкіру, а клітини, які при нанесенні на рану створюють не рубець, а нормальну шкіру", – наголошує директор ilaya.

Саме за таким принципом працює "Банк шкіри", ще один проект клініки, створений у січні-лютому 2015-го, який допомагає людям відновлюватися після опіків та інших захворювань, який, до речі, патронує дружина Президента України. Але це тема окремої публікації, а нас цікавить саме вирощування кісток для бійців АТО.

фото 5.ua

Для утворення кістки використовуємо біоматеріал бійця і кістковий матрикс, позбавлений ДНК

Детальніше суть методу біотех-реабілітації пояснює біолог клініки Ольга Губар, яка працює тут 2 роки. Зауважимо, що вона закінчувала біологічний факультет університету імені Шевченка, навчалася в аспірантурі у Франції, а потім повернулася працювати в Україну.

Ця технологія розроблялася ще без неї в основному своєму вигляді. Дослідниця розповідає, що стовбурових клітин в організмі дуже мало. На один мільйон клітин може бути одна чи дві стовбурові клітини. Загалом забирати їх можна з кісткового мозку, тобто з фрагменту кістки, з венозної крові, і дуже рідко з жирової тканини, але остання гірше формує кістку. Тому, зазвичай, все-таки стовбурові клітини беруть з кісткового мозку бйців.

"Ми допомагаємо регенаторному потенціалу, ми просто прискорюємо відновлення. Для цього беремо стовбурові клітини пацієнта з кісткового мозку, а також – наше ноу-хау, нова розробка – те, що ми комбінуємо зі стовбуровими клітинами власне попередників кістки, які ми вирощуємо з цих фрагментів кісток самого бійця, а також попередниками клітин ендотелію судин для кращої васкуляризації (утворення судин)", – розповідає біолог. Далі для цих клітин створюють ідеальні умови, в яких  вони можуть безперешкодно розмножуватись. Так, за словами Губар, 200 млн клітин, потрібні для бійця, ростуть, наприклад, від місяця до двох. Кількість необхідних клітин залежить від об'єму дефекту у конкретного пацієнта. "Потім ці ж власні клітини повертаємо в організм, де вони, власне, диференціюються і виконують свою функцію", – пояснює біотехнолог.

фото 5.ua

За її словами, для них важливо в результаті отримати кістку, яка гарно приживеться, васкуляризовану, тобто із судинами, і буде вже "як своя рідна". "Для цього ми використовуємо клітини-попередники кістки і клітини-попередники судин. Носій, на який ми садимо клітини, він є провідним у визначенні того, у що ті клітини диференціюються. Коли клітини кісткового мозку посадити на демінералізований матрикс, то вони його відчують і будуть знати, що тут треба формувати кістку. Вони такі – розумні. Найчастіше ми використовуємо так звані "кісткові чіпси". Це ось така пробірка. Чіпси тут схожі на кубики цукру. Це демінералізований кістковий носій, який поміщають у середовище, в якому ростуть клітини. Він дуже пористий, туди клітини ззовні і зсередини проростають", – описує механізм формування кістки біотехнолог.

фото 5.ua

А ось як готують вирощену кістку для трансплантації військового. "Ми з власної крові бійця робимо фібриновий гель (кров, коли згортається, це власне волокна фібрину), і ось ми власне волокнами фібрину надаємо якусь форму трансплантату. Він трошки пластичний, тому хірург задає форму трансплантату, яка йому потрібна. Якщо ураження кістки у бійця незначне, ми не використовуємо каркас і травма дуже швидко заміщується нормальною кістковою тканиною і все зростається", – розповідає Губар і додає, що відновлення такого пацієнта триває від 4 до 6 місяців. На запитання, чи буває під час застосування методу, що у людей починається відторгнення нової кістки, біолог говорить: "Взагалі відторгнення не було, бо це власні клітини, у когось буває довше відновлення, якщо є хронічні запальні процеси в організмі. У когось швидше, у когось довше. На моїй пам'яті – тобто за останні 2 роки – відторгнень трансплантатів не було".

Окрім того, як наголосила біотехнолог, для України це точно унікальна методика, а ймовірно – і для більшості світу: "Наскільки знаю, ми єдині, хто використовує ще клітини-попередники ендотелію (тобто судини – 5.ua), бо ж стромальні клітини без кров'яного живлення дуже швидко відмирають, а так набагато швидше відбувається загоєння".

Вона також констатувала, що з 2014-го року методика значно розвинулася, адже часто доводиться вирішувати нові завдання для лікування конкретних бійців, і розповіла про розробки у їхній клініці та в світі: "Ми вже маємо певні розробки, щоб відновлювати м'язи, нерви, судини, сполучні тканини та інше".

Своєю чергою генеральний директор клініки Олексій Шершньов розповів, що зараз завдяки проекту "Біотех-реабілітація поранених", роботі з бійцями та з "Народним проектом", у клініки виник певний позитивний імідж, бо досі державна машина чинила неабиякий спротив новому методу. "Технології стояли на місці… От нам на рік пізніше дали ліцензію,  ніж ми того хотіли. Ми були шості по Україні. От скільки за рік було ампутацій? Скажіть корупціонерам "спасибі"… Усі, кому ампутували ногу за той час, я впевнений, у половині випадків, якщо професійно розбиратися, то ми знайдемо, що кінцівку можна було врятувати. Якщо держава, суспільство, пацієнти хочуть зробити регенеративні технології більш доступними, потрібна конкуренція, а для цього потрібно приборкати корупціонерів, що ми й намагаємося постійно робити за рахунок нашої публічності і дерегуляції законодавства", – наголошує Шершньов.

фото 5.ua

Він також зауважує, що в певному розумінні проект "Біотех-реабілітація поранених" – це революційний проект. Але, якби не було фінансової підтримки People's Project, нічого б не було. За його словами, на всіх бійців вони зібрали 15 млн грн. "Ці гроші, окрім врятованих кінцівок, зробив державі невеличкий подарунок: цей проект зекономив грошей платників податків на сьогодні від 200 до 300 млн грн – на соціальних виплатах інвалідам війни і на фінансуванні протезування. Бо за кордоном хороший біоничний протез коштує від 50 тис. євро і фінансується за рахунок державних коштів. І ці невитрачені гроші тепер можна пустити на інше щось, важливе для країни", – підкреслює Шершньов.

Нагадаємо, волонтер і керівник проекту People’s Project Максим Рябоконь в ексклюзивному інтерв'ю 5.ua заявив, що багато волонтерів нормально ставляться до ампутацій, але якби вони знали, скільки ампутацій можна уникнути – вони б своє ставлення про протезів змінили.

Людмила Горпинич, 5.ua

Попередній матеріал
Держдума РФ схвалила репресивні "антитерористичні закони": відтепер "недонесення" – злочин
Наступний матеріал
Кабмін виділив ЦВК 7,35 млн грн на довибори в парламент
Теги:
Loading...
Пораненому бійцю АТО українські лікарі-біотехнологи відростили відірвану п'ятку

Пораненому бійцю АТО українські лікарі-біотехнологи відростили відірвану п'ятку

Шість тисяч людей взяли участь в акції "Пробіг під каштанами"

Шість тисяч людей взяли участь в акції "Пробіг під каштанами"

Волонтери: проект "Банк шкіри" врятував уже 12 українців

Волонтери: проект "Банк шкіри" врятував уже 12 українців

Волонтер про ситуацію в АТО: Ми повертаємося до показників річної давнини

Волонтер про ситуацію в АТО: Ми повертаємося до показників річної давнини

"Досить смертей!": оборону Авдіївської промзони підсилили двома турелями "Шабля"

"Досить смертей!": оборону Авдіївської промзони підсилили двома турелями "Шабля"

"Кіборг" та волонтер брати Кузьміних: Із 435 нардепів допомогти пораненим бійцям зголосились двоє

"Кіборг" та волонтер брати Кузьміних: Із 435 нардепів допомогти пораненим бійцям зголосились двоє