Хлопець виміряв свій пеніс USB-кабелем

У Британії підліток вирішив виміряти свій статевий орган USB-кабелем – провід застряг в організмі хлопця

New York Post

Згодом з уретри почала йти кров

У Великій Британії 15-річний хлопець вирішив виміряти довжину свого статевого органа і через це потрапив у лікарню. "Дивогляд" із посиланням на New York Post повідомляє, що для цього він вставив USB-провід у свою уретру.

Підліток просунув кабель всередину себе, але витягнути вже не зміг. Шнур застряг і запутался в організмі хлопця, а згодом з уретри почала йти кров.

Батьки, не розуміючи що відбулося, одразу ж вирушили у лікарню. Там хлопець попросив матір залишити його віч-на-віч з лікарем, якому й розповів усю ситуацію. 

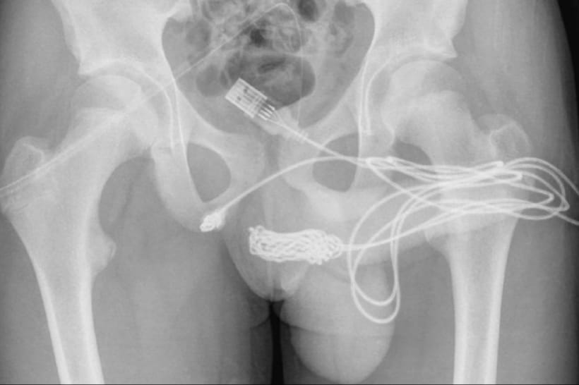
Фахівець відправив підлітка зробити рентген. На знімку він побачив, що кабель зав'язався всередині пацієнта на величезний вузол. Тоді було вирішено робити операцію. Лікарі зробили невеликий надріз між анусом та геніталіями і витягнули сторонній предмет. 

Нагадаємо, раніше "Дивогляд" розповідав, чому прем'єр-міністр Британії переймається яєчками друга кузена Нікі Мінаж.

Якщо ви втомилися від серйозних новин і хочеться трохи розслабитися, підписуйтеся на наш канал у Telegram. Дивогляд 5.UA – тут може бути страшно, але весело!

ПРОКОМЕНТУЙТЕ

МАТЕРІАЛИ ЗА ТЕМОЮ