Пратаб Муніанді

Найбільша кількість зубів у світі – до Книги рекордів Гіннеса потрапив нетиповий чоловік (фото)

Guinness World Records

Усмішка на мільйон

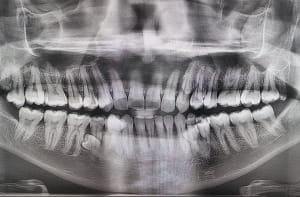
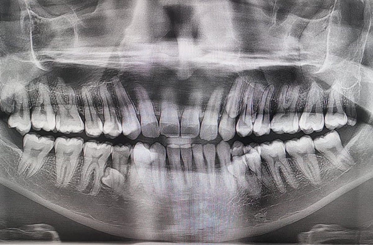
Світ дізнався про людину з найбагатшою посмішкою на планеті: 33-річний мешканець Малайзії Пратаб Муніанді офіційно став володарем рекордної кількості зубів серед чоловіків. У той час як більшість дорослих людей мають 32 зуби, у роті малайзійця їх нарахували аж 42. Про цю незвичайну анатомічну особливість повідомляє "Дивогляд" із посиланням на офіційні дані Книги рекордів Гіннеса.

Сімейне чаювання, що призвело до світового визнання

Пратаб Муніанді, який працює інженером у нафтогазовій сфері, тривалий час навіть не здогадувався про свою унікальність. Усе з'ясувалося випадково під час звичайної розмови з родиною за чаєм у 2021 році. Чоловік жартома зауважив, що відчуває у себе "зайві" зуби, і разом із рідними спробував їх перерахувати.

Тоді нарахували 38 зубів, що вже було значно більше за норму. Проте справжня сенсація чекала на Пратаба в кабінеті стоматолога. Рентгенівське обстеження показало, що в щелепі приховані ще чотири зуби, які на той момент ще не прорізалися. Остаточний вердикт лікарі оголосили на початку 2023 року: загальна кількість зубів становить 42.

"Зазвичай люди дуже дивуються і спочатку не вірять, особливо коли дізнаються, що у мене на десять зубів більше, ніж у середньостатистичної людини, яка має 32", – розповів він.

Поради від власника 42 зубів

Попри таку аномалію, Пратаб не скаржиться на дискомфорт. Більшість його додаткових зубів ростуть рівно, не заважають один одному та не потребують видалення. Проте така кількість вимагає подвійної відповідальності за гігієну. Рекордсмен приділяє багато часу догляду за ротовою порожниною: він чистить зуби двічі на день та ніколи не забуває про зубну нитку.

Сам інженер сприймає свій статус із великим оптимізмом та вдячністю медикам, які допомагають йому підтримувати здоров’я.

"Це дивовижне відчуття – знати, що ти світовий рекордсмен за кількістю зубів", – зазначив він.

Цікаво, що аналогічний рекорд серед жінок належить мешканці Індії Кальпані Балан. Вона має 38 зубів, що на чотири менше, ніж у малайзійського рекордсмена.

Раніше "Дивогляд" розповідав, що стоматолог назвав 10 речей, які він заборонив своїм дітям.

Чудернацькі історії з України, котики, скандали світових зірок, гумор і трохи дикого трешу з московських боліт – читайте першими в Telegram Дивогляд 5.UA.

ПРОКОМЕНТУЙТЕ

МАТЕРІАЛИ ЗА ТЕМОЮ