Користувачів соцмереж зворушили світлини собаки-"жабки", що народилася без шиї

http://dogpage.ru/

Маля народилося у дикої собаки в лісі, однак через дефект мати відмовилась вигодовувати своє щеня

Соцмережами розлетілися фото собаки на прізвисько "Хрюша", що народилася без шиї.

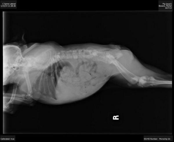
Як повідомляє портал Dogpage, тваринці дуже пощастило в житті. Вона народилася від дикої собаки в лісі. Однак, мати недовго дбала про щеня. Крім того, у малечі виявилося кілька вроджених дефектів: деформація кісток і відсутність шийних хребців.

Повідомляється, що у більшості випадків такі тварини приречені на загибель, тому що собака не змогла б вести справжній мисливський дикий спосіб життя, навіть якщо б мати її вигодувала та виростила.

Врятувала песика звичайна милосердна жіночка – Кім Ділленбек, що мала великий досвід роботи з хворими тваринами. Завдяки її турботі "Хрюша" стала дивовижним, але абсолютно повноцінним членом її родини. 

Дивіться такожУ Флориді пінгвіну, що втратив майже все пір'я, пошили особистий гідрокостюм

ПРОКОМЕНТУЙТЕ